和歌山県和歌山市 太田矯正歯科クリニック
患者さま専用 | リンク集  |  サイトマップ
ホーム
地図・アクセス
医院案内・院長紹介
歯列矯正の進め方
お悩み相談受付
オンライン予約

 太田矯正歯科カテゴリ ホーム > お悩み相談 >

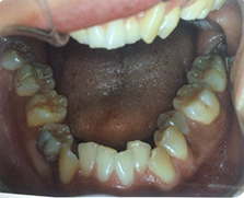
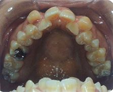
2016年8月8日 和歌山県和歌山市 24歳 女性

骨格性の問題が大きい歯並び(側面) 骨格性の問題が大きい歯並び(正面) 骨格性の問題が大きい歯並び(側面)
骨格性の問題が大きい歯並び(上顎) 骨格性の問題が大きい歯並び(下顎)  

歯列矯正を検討しており、いくつかの矯正歯科でカウンセリングを受けています。
なるべく目立たなく、短期間での治療がいいのですが、どのような治療法で、費用はいくらでしょうか。
また、5年前に、右下に乳歯が残っており、その歯が邪魔をして永久歯が埋もれてしまっているとの診断を受けました。この部分だけを治療する事は可能でしょうか。

こんにちは、太田矯正歯科クリニックの太田です。
お悩み相談ありがとうございます。
またお写真ありがとうございます。

骨格性の問題が大きいので、当クリニックで矯正治療する場合は、 外科矯正治療となります。費用は顎変形症の適応となりますので、保険適応となります。装置は歯の表側よりブラケットという装置を装着します。期間は3年前後は必要かと思います。上顎は配列する為に両側で1本づつの抜歯が必要となります。下顎の左側 は親知らずの抜歯が必要です。右側は小臼歯が埋伏してるとの事なので、牽引できる
場合は保存しますが、状況により抜歯が必要となります。

当クリニックでは、矯正治療のみの場合や部分的な矯正治療の場合はお引き受けできない症例となります。

外科矯正治療の場合(顎変形症)下記のホームページを参考にしてみて下さい。
http://chuo.kcho.jp/department/clinic_index/oral_maxillofacial/gakuhenkeisyo




院長略歴
1986年 近畿大学付属和歌山高校卒業
1992年朝日大学歯学部卒業
大学院歯学研究科入学
(歯科矯正学専攻)
1996年大学院歯学研究科修了
歯学博士号取得
朝日大学歯学部歯科矯正学講座・非常勤講師(学法)
1997年日本矯正歯科学会認定医取得
1998年太田矯正歯科クリニック開院
1999年厚生省指定
育成(更生)医療機関認可
2003年顎口腔機能診断施設認定

所属学会
日本矯正歯科学会認定医
近畿東海矯正歯科学会
日本口蓋裂学会
日本顎変形症学会
みなさんこんちは!院長の太田安彦です。
矯正についてお悩みですか?「評判の良い矯正はどこにいるの?」「費用や期間が心配です。」「いつから矯正をスタートすればいいの?」まずは、ご相談ご見学にいらしてください。きっとお力になれます!初診は無料で行っています。

開放的で自然の光の溢れた清潔で明るい診療室です。診療台についたモニターには常時映画が流れていて、待ち時間も退屈なさらないように心がけています。
こちらは落ち着いた雰囲気の待合室です。治療に対してのご質問があれば、お気軽に受付にお話ください。話しやすい雰囲気と評判です。




歯並び.TV http://www.hanarabi.tv/ (当院は和歌山地区を担当しております!)
歯並びTVのサイトポリシー
歯並びTVは、患者様から実際に頂いた矯正に関するお悩み相談をカテゴリ分けしたサイトです。このサイトを通して、矯正歯科に対する疑問や不安が少しでも解消されれば幸いでございます。また、文字のみの無料カウンセリングと写真つきの無料フォトカウンセリングを実施しておりますので、お気軽にご利用ください。きっと、お力になれます!当院は主に和歌山地区の方からのご相談に回答しております。

大阪
神戸
京都
名古屋
和歌山

歯並び.TV お悩み相談カテゴリ(下記カテゴリをクリックすると歯並びTVのページに移ります。)




Copyright (C) 2006-2012 Ota Orthodontic Office. All Rights Reserved.